通常であれば神経を抜かなければなりません!
患者さんは20歳男性、訴えはは左下奥歯が何もしなくても痛いとの事。
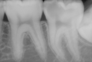
所見としては左下一番奥の歯がものすごく
深い虫歯になっておりレントゲンでは神経にまで虫歯が達していると思われました。
神経はすでに腐っているだろうと思い最初はドリルで削り始めると凍みる、痛いという事なので神経がまだ生きている事がわかりました。

そこでライトタッチレーザーとドックベストセメントを用いて患者さんに了承を得た上で神経を残して処置をしていく事にしました。
ライトタッチレーザーで虫歯の部分をある程度取り除いて一層虫歯を残したままでそこをドックベストセメントでふさぎました。

2週間後
来院してもらうと初診時のような何もしなくても痛いということはなくなり、噛んだ時の痛みもなくなりました。電気的に神経が生きているか死んでいるかを判定する機械で調べると神経は生きているという反応がありました。
H23年6月に来られたのでその後どうなっているか心配なので経過観察をしたいのでH23年9月中旬頃にリコールの電話したが忙しくて来れないとの事。その時も電話ですが特に疼痛等の自覚症状はなしとの事でした。H23年12月にやっと来院して頂く事ができたので取り合えず経過観察させてもらいました。
所見的にはもちろん何もしなくても痛いようなことはなく、噛んだ時の痛みもなし、神経の反応もありましたレントゲンで確認するとドックベストセメントを置いた部分の下に新しい歯質ができ始めているように見えます。もう6カ月ほど待って最終処置をしていきたいと思います。

ドックベストセメントを使うのなら何で歯を削ろうが関係ないと思われるかもしれませんがドリルですと虫歯菌を塗り込んでしまうので痛みがでて神経が膿んでしまう可能性があります。しかしライトタッチレーザーですと虫歯の部分を振動を与えずに蒸発させてしまい、しかも殺菌をしていくのでドリル術後の経過が良好です。
