今日もインプラント治療を行いました。
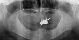
今日の患者さまは当院に来院した時点ですでに下アゴには歯が1本もなく、上アゴには2本の歯を土台としたグラグラしたブリッジがあり、入れ歯を上下に入れておられましたがかなり食事や会話に苦労されていました。


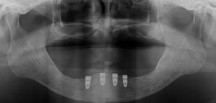
残念ながら上アゴの歯は歯を残したとしても返ってその部分を支点にして入れ歯が動いてしまい、あまりいい結果をだせないので抜かせて頂きました。今日はまずは下顎に4本のインプラントを植えさせていただきました。
3ヶ月後には2回目のオペを行い最終的には義歯タイプの上物を入れる予定です。
